Caso clínico | MANEJO DE UN DEFECTO ÓSEO EN SECTOR ANTERIOR MAXILAR EN UN PACIENTE PERIODONTAL

Dr. Sergio García Moreno
. Licenciatura en odontología en la Univ. Rey Juan Carlos
. Máster en cirugía bucal e implantología en el Hospital Viamed Virgen de la Paloma
. Labor docente asociada a universidades (URJC, UCM, UPC) y sociedades científicas nacionales (SECOM, SECIB)
. Participación en numerosos congresos nacionales e internacionales
. Profesor colaborador en los Másters de la Univ. de La Salle y la Univ. de Valencia
. Práctica privada en Implantología y prostodoncia
. Autor de artículos en revistas nacionales e internacional
Introducción
La reposición de piezas ausentes en sector anterior maxilar mediante la utilización de implantes dentales supone siempre un reto en cuanto a la dificultad de manejo quirúrgico y prostodóntico que entraña estos casos, dado que no solo necesitamos crear una rehabilitación protésica que sea funcional e higiénica si no que además necesitaremos adaptar nuestros protocolos de trabajo para que dichas restauraciones sean además lo más estéticas posibles y que se puedan mimetizar de la mejor manera en el entorno oral de nuestros pacientes.
La rehabilitación de esta zona anatómica puede ser todavía más compleja cuando nos encontramos asociada a la misma defectos óseos que comprometen la colocación de implantes o la rehabilitación prostodóntica posterior. Existen multitud de protocolos de actuación descritos en la literatura para poder tratar de forma predecible estas situaciones clínicas. Normalmente la mayoría de estos procedimientos, sobre todo los más clásicos, tienen en común el hecho de necesitar mucho tiempo hasta la rehabilitación con prótesis fija de dichos pacientes y la realización de un número elevado de intervenciones siendo normalmente los pasos a seguir los siguientes:
1º. Extraer los dientes y esperar a la cicatrización de los tejidos blandos
2º. Regenerar el defecto óseo
3º. Colocar los implantes
4º. Engrosar los tejidos blandos si es necesario más aumento de volumen.
5º. Vestibuloplastia normalmente asociada a otro procedimiento de cirugía mucogingival para poder reposicionar la linea mucogingival después de las intervenciones anteriores y conseguir una adecuada estética y unos correctos tejidos blandos alrededor de los implantes que permitan mantener la salud periimplantaria en el futuro.
Actualmente se está haciendo cada vez más común el uso de protocolos de actuación que permitan solucionar la patología del paciente de la forma más rápida posible realizando en una sola cirugía varios de los procedimientos antes enumerados, reduciendo así el número de intervenciones y, siempre que sea posible, dando a nuestros pacientes la posibilidad de poder tener prótesis fijas provisionales en el inicio del tratamiento que permitan una mayor calidad de vida del mismo y una mayor satisfacción con el tratamiento realizado.
Historia clínica y antecedentes
A continuación se presenta el caso de una paciente periodontal que acude a nuestra consulta con dolor, inflamación y movilidad tipo 3 en 21 (Foto 1). Al realizar una exploración radiológica mediante un CBCT y comprobar que existe un amplio defecto óseo de origen periodontal en relación al 21, con una pérdida osea interproximal sin llegar a comprometer los pico óseos y una pequeña pérdida de la pared palatina (Foto 2 y 3). De forma adicional presentaba movilidad tipo II en 22 con una gran pérdida de soporte óseo y ausencia de la pieza 23.



Figura 1, 2 y 3.
Nuestro objetivo es, dada esta situación clínica, ser capaces de poder resolver este caso en el menor tiempo posible con el menor número de cirugías y pudiendo siempre tener provisionalizado a nuestro paciente de forma fija, sin que este objetivo de tratamiento comprometa de ninguna manera el resultado final que obtengamos ni a nivel funcional, estético o de salud de los tejidos periimplantarios.
Fase quirúrgica
En primer lugar pautamos un tratamiento antibiótico y realizamos un tratamiento periodontal completo para poder controlar el estado periodontal del paciente. Después de esta fase inicial decidimos que es necesaria la extracción de 21 y 22.
Existen múltiples opciones terapéuticas que podríamos hacer seguido para poder resolver este caso cumpliendo los objetivos antes propuestos. En primer lugar podríamos optar por colocar los implantes tanto en posiciones de 21 y 23 como 22 y 23. Si hubiéramos optado por la primera opción estaríamos planteando una situación clínica de colocación de un implante postextracción en una zona defecto óseo con pérdida de tabla vestibular y retracción de los tejidos blandos con respecto a su situación estética ideal (alveolo tipo III de Elian) (1). Aunque algunos autores han mostrado casos tratados con éxito en este tipo de situaciones (2, 3, 4) o se han propuesto adaptaciones de los protocolos de trabajo para el tratamiento de alveolos tipo II de Elian, como los descritos por González y cols. (5), la mayoría de los autores coinciden en formar que existe my poca evidencia con respecto a la predictibilidad de este tipo de abordajes (6) y que deberían en caso de usarse ser únicamente utilizados en casos específicos y favorables (7). Es por ello que siendo un alveolo tipo III con un gran defecto óseo que no solo comprometía la tabla vestibular decidimos que era más correcto realizar la colocación de implantes en posiciones de 22 y 23 con una extensión mesial. De tal manera, el defecto óseo en 21 lo podremos tratar siguiente protocolos de preservación alveolar en situaciones de pérdida ósea de pared vestibular, convirtiéndose en un procedimiento mucho más predecible y con mucho más aval literario (8).
Para la correcta instalación de los implantes se realizó una planificación previa de la posición tridimensional ideal de los mismos en relación al diseño previo de la futura prótesis definitiva y para poder colocar lo implantes en la misma posición que en la que habían sido planificados se elaboró y diseñó una férula quirúrgica de cirugía guiada mediante la utilización del software Galimplant 3D Exacto (Foto 4). La instalación de implantes dentales mediante el empleo de férulas quirúrgicas de cirugía guiada es de especial interés cuando estamos hablando de casos en sector estético donde una incorrecta inclinación o posición tridimensional del implante puede comprometer seriamente tanto la estética de la futura prótesis como la salud de los implantes. (9)

Figura 4
Después de realizar la colocación de los implantes Galimplant IPX (Foto 5 y 6) se procedió a realizar la regeneración ósea del defecto óseo en 21 mediante el empleo de un mix de hueso autógeno y xenoinjerto de lenta reabsorción con el fin de ayudar a conseguir una mayor estabilidad dimensional de la ganancia ósea obtenida. Para poder conseguir también un correcto volumen óseo alrededor de los implantes colocados en 22 y 23 decidimos colocar este mismo mix óseo en vestibular 22 y 23 tal y como recomienda Benic en su protocolo de tratamiento de defectos óseos tipo I en zona estética (10) (Foto 7).



Figuras 5, 6 y 7.
Con el fin de estabilizar el injerto óseo y realizar una función de exclusión celular que permita una correcta cicatrización ósea decidimos utilizar una membrana de colageno nativo fijada con chinchetas de titanio y convenientemente tensionada por dichas chinchetas para poder ejercer una presión que inmovilice el injerto en la zona deseada (11)(Foto 8).
Una vez llegados a este punto podríamos plantear diferentes maneras de manejar los tejidos blandos con el fin de poder conseguir un correcto sellado del espacio a regenerar para poder evitar la posible contaminación bacteriana del mismo y asegurando así la correcta cicatrización de la zona. La opción más sencilla sería avanzar el colgajo vestibular para permitir un cierre primario sin tensión, pero ello supondría una importante distorsión de la morfología de los tejidos blandos perimplantarios con una pérdida del fondo del vestíbulo en la zona y un gran avance de linea mucogingival, lo que se traduciría en una alteración estética importante. En este caso decidimos realizar un sellado de la zona a regenerar mediante la interposición de una prótesis provisional en 22 y 23 y en 21 mediante la colocación de un injerto de tejido conectivo a modo de silla de montar en 21 con un técnica similar a la descrita por Stimmelmayr (12) de tal manera que podemos conseguir un sellado de la zona regenerada sin necesidad de realizar ninguna maniobra de avance del colgajo vestibular y evitando así las distorsiones de los tejidos blandos anteriormente descritas.
Este concepto de realizar el sellado de injertos óseos en alveolos postextracción mediante injertos gingivales fue descrita en primer lugar por Landberg y Bichacho (13). En su descripción de la técnica únicamente utilizaban cilindros de injertos gingivales libres obtenidos con bisturíes circulares que suturaban a los márgenes gingivales del alveolo, pero el pobre aporte vascular suponía un riesgo notable de posibles necrosis parcial o total del injerto gingival. Sin embargo, la técnica de Stimmelmayr, al ser un injerto más grande, este queda por debajo del colgajo vestibular y el palatino quedando solo una pequeña parte del injerto sin aporte vascular inicial, siendo así el riesgo de necrosis mucho menor. Además el hecho de quedar cubriendo también la superficie vestibular y crestal permite aumentar el volumen en la zona mejor que otras técnicas de preservación alveolar, engrosando los tejidos blandos y permitiendo una mejor situación para poder realizar una restauración protésica final más estética. Con este mismo fin de engrosar los tejidos blandos se realizó también un segundo injerto de tejido conectivo en vestibular-crestal de 22, 23. (Fotos 8, 9 y 10)



Figuras 8, 9 y 10
Se colocaron pilares rectos estéticos transepiteliales de 3mm que no se retiraron en ningún momento posterior del tratamiento siguiente el protocolo de trabajo «One abutment, One time» (14). Se procedió a la sutura con sutura reabsorbible PGA de 50s (Foto 10) y se tomaron registros para poder confeccionar una prótesis provisional implantosoportada que fue colocada 2 días después de la cirugía (Foto 11)

Figura 11
A los 3 meses de la intervención (Foto 12, 13) constatamos que se había producido una cicatrización correcta de la cirugía pero el entorno de los tejidos blandos periimplantarios no era el adecuado dado que carecía de encía queratinizada por vestibular de 22 (Foto 14). Tal y como podemos observar en la foto inicial antes de empezar el tratamiento la ausencia de encía queratinizada en vestibular de 22 ya estaba presente antes de empezar el tratamiento por lo que es lógico que, después del mismo, se traduzca en que sigue existiendo una ausencia de encía queratinizada por vestibular de 22. Con el fin de poder garantizar un entorno periimplantario favorable a nivel mucoso que ayude a mantener la salud periimplantaria a medio y largo plazo (15) decidimos realizar una vestibuliplastia y colocar un injerto gingical libre desepitelizado en vestibular de 22 para corregir la situación de los tejidos blandos (Foto 14)



Figuras 12, 13 y 14
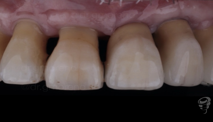
Una vez que ya hemos conseguido el volumen adecuado de nuestra cresta gracias a la regeneración ósea realizada y al engrosamiento de los tejidos blandos mediante los injertos de tejido conectivo y, una vez que ya tenemos un adecuado entorno óseo y mucoso periimplantario, procedemos a realizar nuestra prótesis definitiva (Foto 15)

Figura 15
Dos años más tarde podemos ver como a nivel radiológico en el CBCT la ganancia ósea obtenida sigue estable tanto en 21 como en la zona de los implantes permitiendo una estabilidad del resultado estético obtenido y un adecuado entorno óseo periimplantario de más de 2mm (16) (Foto 14).
Al realizar una radiografía periapical con posicionador, podemos ver como a los 2 años de la colocación de los implantes sigue existiendo una perfecta estabilidad del hueso crestal con cero pérdida ósea alrededor de los mismos. Esto es debido tanto al manejo quirúrgico del caso (posición tridimensional del implante convenientemente sumergidos a nivel infraoseo) (17) como al manejo prostodóntico (empleo de implantes con conexión cónica (18) y pilares transepiteliales anatómicos sin divergencia en su emergencia (19) y colocados siguiendo el protocolo «One abutment – One time» para evitar repetidas conexiones y desconexiones) (14)
Conclusiones
Un adecuado manejo quirúrgico-protodóntico de los casos de defectos óseos en sector anterior nos permite resolver situaciones clínicas complejas con un número reducido de cirugías, acotar tiempos de tratamiento y poder provisionalizar a nuestros pacientes con prótesis fija implantosoportada sin que ello comprometa el resultado final ni a corto, medio o largo plazo.
El empleo de implantes de conexión cónica, la conexión más estable según la literatura, y de pilares transepiteliales anatómicos nos permite conseguir resultados de cero perdida ósea periimplantaria inicial y durante la evolución en el tiempo de implante, lo que nos permitirá reducir drásticamente la incidencia de periimplantitis en los implantes que coloquemos incluso en pacientes con alto riesgo de perIimplantitis como lo son todos los pacientes con antecedente de periodontitis como el paciente al que hacemos referencia en este artículo.



Bibliografía
1 – Elian N, Cho SC, Froum S, Smith RB, Tarnow DP. A simplified soc- ket classification and repair technique. Pract Proced Aesthet Dent. 2007 Mar; 19 (2): 99-104.
2 – Martins da Rosa JC, Pértile de Oliveira AC, Martins Da Rosa D, Zardo CM. Immediate dentoalveolar restoration of compromised sockets: A novel technique. The European Journal of Esthetic Dentistry 2013 8, 432-443.
3 – Martins da Rosa JC, Martins da Rosa D, Fadanelli MA, Sotto-Maior BS. Immediate implant placement, reconstruction of compromised sockets, and repair of gingival recession with a triple graft from the maxillary tuberosity: A variation of the immediate dentoalveolar restoration technique. The Journal of Prosthetic Dentistry 2014 112, 717-722.
4 – Martins da Rosa JC, de Oliveira Rosa ACP, Francischone CE, Sotto-Maior BS. Esthetic outcomes and tissue stability of implant placement into compromised sockets following immediate dentoalveolar restoration: Results of a prospective case series at 58 months follow-up. The International Journal of Periodontics & Restorative Dentistry 2014 34, 199-208.
5 – González D, Cabello G, Olmos G, López Hernández E, Niñoles CL. (2018) The three-layer technique for immediate implants on teeth without a buccal bone wall: a case report. The International Journal of Esthetic Dentistry 13, 2-20.
6 – Tonetti MS, Jung RE, Ávila-Ortiz G, Blanco J, Cosyn J, Fickl S, Figuero E, Goldstein M, Graziani F, Madianos P, Molina A, Nart J, Salvi GE, Sanz-Martín I, Thoma D, Van Assche N, Vignoletti F. (2019) Management of the extraction socket and timing of implant placement: Consensus report and clinical recommendations of group 3 of the XV European Workshop in Periodontology. Journal of Clinical Periodontology 46 Suppl 21, 183-194.
7 – Gallucci GO, Hamilton A, Zhou W, Buser D, Chen S. (2018) Implant placement and loading protocols in partially edentulous patients: A systematic review. Clinical Oral Implants Research 29 Suppl 16, 106- 134.
8 – López-Pacheco A, Soto-Peñaloza D, Gómez M, Peñarrocha-Oltra D, Alarcón MA. Socket seal surgery techniques in the esthetic zone: a systematic review with meta-analysis and trial sequential analysis of randomized clinical trials. Int J Implant Dent. 2021 Feb 22;7(1):13.
9 – Vasilios Alevizakos , Gergo Mitov , Constantin von See Implant placement in the aesthetic zone: More efficiency in guided surgery J Oral Implantol. 2021 Dec 29
10 – Benic GI, Hämmerle CH. Horizontal bone augmentation by means of guided bone regeneration. Periodontol 2000. 2014 Oct;66(1):13-40.
11 – Urban IA, Nagursky H, Lozada JL. Horizontal ridge augmentation with a resorbable membrane and particulated autogenous bone with or without anorganic bovine bone-derived mineral: a prospective case series in 22 patients.Int J Oral Maxillofac Implants. 2011 Mar-Apr;26(2):404-14.
12 – Stimmelmayr M, Güth JF, Iglhaut G, Beuer F. Preservation of the ridge and sealing of the socket with a combination epithelialised and subepithelial connective tissue graft for management of defects in the buccal bone before insertion of implants: a case seriesBr J Oral Maxillofac Surg. 2012 Sep;50(6):550-5
13 – Landsberg CJ, Bichacho N. A modified surgical/prosthetic approach for optimal single implant supported crown. Part I–the socket seal surgery. Pract Periodontics Aesthet Dent. 1994;6(2):11–7.
14 – Ríos-Santos JV, Tello-González G, Lázaro-Calvo P, Gil Mur FJ, Ríos-Carrasco B, Fernández-Palacín A, Herrero-Climent M. One Abutment One Time: A Multicenter, Prospective, Controlled, Randomized Study. Int J Environ Res Public Health. 2020 Dec 17;17(24):9453
15 – Schwarz F, Becker J, Civale S, Sahin D, Iglhaut T, Iglhaut G.Influence of the width of keratinized tissue on the development and resolution of experimental peri-implant mucositis lesions in humans. Clin Oral Implants Res. 2018 Jun;29(6):576-582. doi: 10.1111/clr.13155. Epub 2018 Apr 24.
16 – Monje A, Chappuis V, Monje F, Muñoz F, Wang HL, Urban IA, Buser D. The Critical Peri-implant Buccal Bone Wall Thickness Revisited: An Experimental Study in the Beagle Dog Int J Oral Maxillofac Implants. 2019 November/December;34(6):1328–1336
17 – Vervaeke S, Matthys C, Nassar R, Christiaens V, Cosyn J, De Bruyn H. Adapting the vertical position of implants with a conical connection in relation to soft tissue thickness prevents early implant surface exposure: A 2-year prospective intra-subject comparison J Clin Periodontol. 2018 May;45(5):605-612. doi: 10.1111/jcpe.12871. Epub 2018 Feb 23.
18 – Riccardo Caricasulo 1 , Luciano Malchiodi 2 , Paolo Ghensi 3 , Giuliano Fantozzi 4 , Alessandro Cucchi 5 The influence of implant-abutment connection to peri-implant bone loss: A systematic review and meta-analysis Clin Implant Dent Relat Res 2018 Aug;20(4):653-664.
19 – Souza AB, Alshihri A, Kämmerer PW, Araújo MG, Gallucci GO Histological and micro-CT analysis of peri-implant soft and hard tissue healing on implants with different healing abutments configurations Clin Oral Implants Res. 2018 Oct;29(10):1007-1015. doi: 10.1111/clr.13367. Epub 2018 Sep 23.
