Artículo | La rehabilitación del maxilar atrófico sigue suponiendo un reto clínico

Dr. Benito Ramos
- Licenciado en medicina y cirugía Univ. de Zaragoza
- Médico especialista en cirugía oral y maxilofacial
- Master en Medicina Estética por la Sociedad Española de Medicina Estética
- Jefe del Servicio de Cirugía Oral y Maxilofacial Hospital Univ. Santa Lucía
Introducción
El maxilar atrófico supone un reto clínico, en el que el tratamiento mediante implantes cigomáticos presenta ventajas sobre otros métodos (implantes cortos, injertos óseos, osteotomías o implantes subperiósticos), por la posibilidad de realizar carga inmediata incluso en casos extremos, los resultados a largo plazo, su escasa morbilidad y alta predictibilidad, y un manejo prostodóncico similar a la implantología convencional, facilitando su mantenimiento.
Esta técnica exige por contra un dominio absoluto de la anatomía a la que implica, siendo imprescindible un adecuado entrenamiento y el correcto manejo de las posibles complicaciones. (Imagen 1 y 2)

Imagen 1

Imagen 2
El uso de implantes cigomáticos implica el uso de fresas e implantes de gran longitud, en la proximidad de estructuras anatómicas tales como la órbita, la fosa temporal o la fosa pterigomaxilar, por lo que se requiere un dominio exhaustivo de la anatomía y de un entrenamiento específico. (Imagen 1 y 2)
Debemos usar sistemas que faciliten la instrumentación quirúrgica con brocas de distinta longitud, y con conexiones internas cónicas y pilares multiposición con distintas angulaciones, que nos ayuden a adaptarnos a las circunstancias anatómicas de cada paciente y a estabilizar los tejidos blandos periimplantarios, una de las claves, al igual que en la implantología convencional, de su estabilidad a largo plazo.
Desarrollo
La percepción por parte del paciente de un tratamiento poco invasivo, habitualmente realizado bajo sedación IV consciente en el gabinete, sin necesidad de utilizar injertos óseos y por tanto sin morbilidad de zonas donantes, con posibilidad de realizar carga inmediata, una buena y rápida recuperación postoperatoria con una inmediata reincorporación a su vida habitual, y con pocas complicaciones, hacer del tratamiento con implantes cigomáticos una herramienta muy poderosa en manos del implantólogo.
La evolución técnica ha permitido reducir el número de complicaciones, particularmente la aparición de sinusitis, al pasar de la técnica intrasinusal original de Branëmark a técnicas extrasinusales o incluso extramaxilares (imagen 3), donde el implante no tienen ningún contacto con el seno maxilar, permitiendo además adaptarnos a la anatomía específica de cada paciente.
- (a) – Implantes extramaxilares, con anclaje exclusivo en el malar, sin anclaje en la cresta maxilar. (Imagen 3)
- (b) – Implantes extrasinusales, con anclaje en la cresta ósea residual (anclaje maxilar y malar). (Imagen 3)

Imagen 3
Esto ha sido posible por la evidencia de que la estabilidad del implante cigomático no depende de un anclaje en 4 corticales sino del anclaje en el cuerpo del malar. Esta «no necesidad» de anclaje cortical nos permite también mantener el implante en el espesor del malar, sin necesidad de perforar su cortical externa y reduciendo así el riesgo de fístulas cutáneas futuras.
En la imagen 4 podemos observar un implante confinado en el espesor del malar, sin necesidad de perforar su cortical externa, reduciendo así el riesgo de fístulas cutáneas.

Imagen 4
La prevalencia de complicaciones graves, especialmente la penetración en cavidad orbitaria, es muy baja, y la literatura y experiencia nos dicen que el riesgo se multiplica cuando se colocan 4 implantes cigomáticos (Quad Zygoma) en lugar de dos (en combinación con implantes convencionales anteriores). Por tanto, la técnica de Quad Zygoma debe reservarse para profesionales experimentados con la adecuada formación.
Originalmente los implantes cigomáticos se concibieron para situaciones con atrofia maxilar posterior severa en combinación con 2-4 implantes convencionales anteriores.

Imagen 5

Imagen 6

Imagen 7

Imagen 8
Protocolo convencional: Atrofia severa en sector posterior con remanente óseo adecuado en frente anterior (CBCT y aspecto intraoperatorio de la cresta maxilar). (Imágenes 5-8)

Imagen 9
2 implantes cigomáticos en combinación con 4 implantes convencionales anteriores. (Imagen 9)

Imagen 10

Imagen 11
Orto postoperatorio inmediato + Carga inmediata. (Imagen 10 y 11)

Imagen 12

Imagen 13
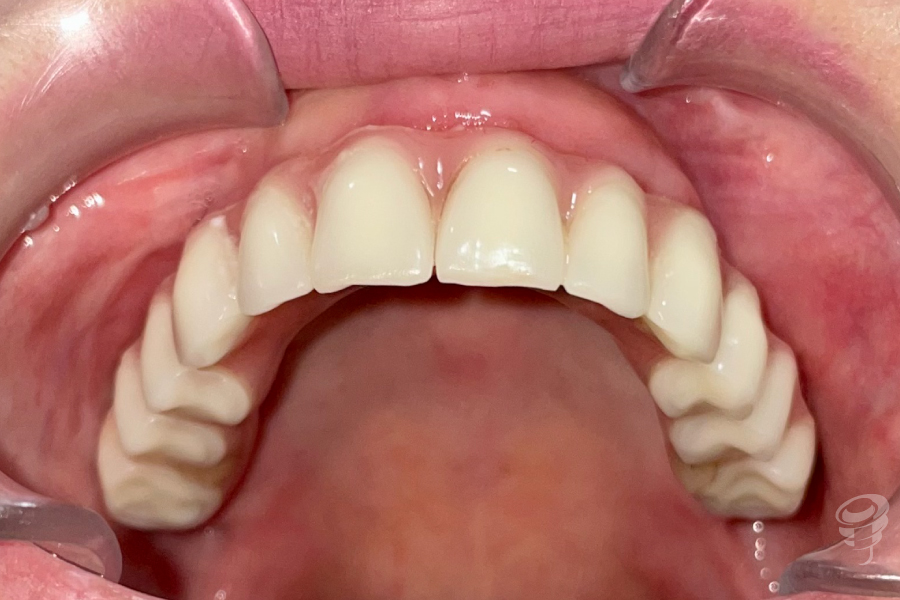
Orto a los 3 años de evolución + Prótesis definitiva. (Imagen 12 y 13)
Protocolo en pacientes periodontales severos: Edentación + Implantes cigomáticos y convencionales inmediatos + Carga inmediata (CBCT y aspecto intraoperatorio de la cresta maxilar). (Imagen 14-25)
Hoy en día este protocolo nos permite abordar casos con enfermedad periodontal severa en pacientes con poco volumen óseo en sectores posteriores, que no quieren estar sin dientes, con protocolos de implantes inmediatos a extracción y carga inmediata con excelentes resultados a largo plazo. (Imagen 14-25)

Imagen 14 – Estado inicial

Imagen 15 – Orto Preoperatoria

Imagen 16 – Imagen Intraoperatoria

Imagen 17 – Post-Edentación Completa

Imagen 18 – Cresta ósea Post-Edentación

Imagen 19 – Implantes Inmediatos

Imagen 20 – Impresión

Imagen 21 – Distribución de los implantes

Imagen 22 – Prótesis de carga inmediata

Imagen 23 – Oto Postop Inmediato

Imagen 24 – Carga Inmediata

Imagen 25 – Carga Inmediata
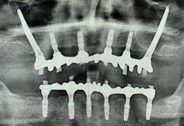
Protocolo Quad Zygoma. (Imagen 26-37)
Por otra parte, el Quad Zygoma nos pemite tratar maxilares con atrofia severa, con posibilidad de carga inmediata, ubicando los implantes en posiciones prostodóncicamente adecuadas que permiten una rehabilitación y mantenimiento convencionales, siendo muy importante para esta técnica evaluar la disponibilidad ósea del cuerpo del cigoma para alojar dos implantes.

Imagen 26 – CBCT Preoperatorio

Imagen 27 – CBCT Preoperatorio

Imagen 28 – Valoración Volumen Cigoma

Imagen 29 -Cresta Maxilar

Imagen 30 – Cresta Ósea Atrófica

Imagen 31 – Quad Zygoma

Imagen 32 – Cierre de los tejidos blandos

Imagen 33 – Geometría del Quad Zygoma

Imagen 34 – Carga Inmediata

Imagen 35 – Orto Postoperatorio Inmediato

Imagen 36 – Prótesis Definitiva (3 años)

Imagen 37 – Orto seguimiento (3 años)
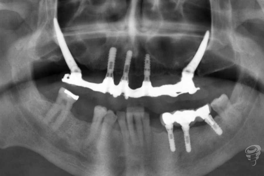
Estamos haciendo mención repetida a la posibilidad de carga inmediata y al mantenimiento a largo plazo de los cigomáticos. La evidencia nos habla de una alta tasa de supervivencia de los implantes cigomáticos a largo plazo (>95-97% a 10 años) en protocolos de carga inmediata, por lo que son idóneos para este tipo de tratamientos. Por su parte, el mantenimiento a largo plazo es imprescindible, al igual que en la implantología convencional, pero para que sea factible debemos conseguir una adecuada base para la estabilidad a largo plazo de los tejidos blandos periimplantarios, siendo este un objetivo crítico en cualquier tipo de rehabilitación con implantes cigomáticos. (Imagen 38-49)

Imagen 38 – Quad Zygoma

Imagen 39 – Postoperatorio Inmediato

Imagen 40 – Tejidos Blandos a los 6 años

Imagen 41 – Orto a los 6 años

Imagen 42 – Fracaso implantes previos

Imagen 43 – Postoperatorio 6 meses

Imagen 44 – Tejidos blandos a los 4 años

Imagen 45 – Orto a los 4 años

Imagen 46 – Pacientes periodontales severos

Imagen 47 – Postoperatorio 6 meses

Imagen 48 – Tejidos blandos a los 5 años

Imagen 49 – Orto a los 5 años
En este sentido quiero hacer énfasis en dos aspectos. Por un lado, la «externalización» del cuerpo del implante puede aumentar el riesgo de complicaciones en los tejidos blandos por la aparición de dehiscencias y exposiciones, por lo que suelen asociarse técnicas que reduzcan este riesgo (como técnicas de regeneración ósea o el uso de la bola de Bichat) (Imagen 50-53) al tiempo que necesitamos disponer de implantes con el cuerpo mecanizado, que tengan buen comportamiento biológico en caso de exposición. (Imagen 54)

Imagen 50

Imagen 51

Imagen 52

Imagen 53

Imagen 54
- Externalización de los implantes cigomáticos, con riesgo de exposición, especialmente en caso de implantes con espiras. (Imagen 50)
- Interposición del colgajo de bola de Bichat entre el implante y la mucosa para reducir el riesgo de exposición. (Imagen 51-52)
- Regeneración ósea, en este caso con lamina cortical. (Imagen 53)
- Implantes mecanizados, con buen comportamiento biológico en caso de exposición, para reducir el riesgo de periimplantitis. (Imagen 54)
Por otro, la conexión cónica con pilares multiposición y cambio de plataforma nos permite aumentar la estabilidad periimplantaria y el adecuado posicionamiento y paralelismo de las conexiones, sentado como hemos dicho una adecuada base para el mantenimiento a largo plazo. (Imagen 55-57)

Imagen 55 – Pilares Angulados Multiposición de 0-60 grados

Imagen 56 – Posicionamiento y paralelismo de las conexiones

Imagen 57 – Posicionamiento y parelelismo de las conexiones
Conclusiones
Para finalizar, la versatilidad de los implantes cigomáticos nos permiten abordar otras situaciones clínicas muy difíciles de solucionar con otras técnicas, como la rehabilitación en pacientes oncológicos o sindrómicos, la reconversión de sobredentaduras en fijas, o el rescate de fracaso de tratamientos implantológicos anteriores, donde la irregularidad y defectos óseos residuales pueden ser importantes.
Existen también evidencia del uso de implantes cigomáticos para rehabilitaciones parciales, que pueden estar indicados para casos de fracaso previos de una elevación del seno maxilar,pacientes con patología sinusal o senos muy neumatizados con menos de 4-5 mm de hueso alveolar residual.