Caso Clínico| Enfoque Prosto-Perio del perfil de emergencia y su relación con la carga inmediata

-
Licenciado en Odontología por la Univ. de Venezuela
-
Máster de Prótesis y Rehabilitación Oral sobre Implantes. Federación Odontológica de Colombia
-
Máster Estética y Operatoria Dental, por la Univ de Carabobo, Venezuela
-
Máster Oficial de Cirugía Oral e Implantología. CEU
-
Residencia Maxilofacial. Grupo HM Hospitales
Resumen
El perfil de emergencia se define como la forma en que la restauración protésica emerge desde la plataforma del implante, (en este caso desde la plataforma de un pilar transepitelial) a través de los tejidos blandos hasta alcanzar la corona clínica. Su correcta planificación permite la formación de un contorno gingival natural y contribuye a la estabilidad a largo plazo del implante.
El perfil de emergencia en rehabilitaciones sobre implantes es un factor crítico en la estabilidad de los tejidos periimplantarios. Su diseño adecuado influye en la salud gingival y en la longevidad del tratamiento.
La carga inmediata implica colocar una prótesis provisional fija dentro de las primeras 48 horas posteriores a la colocación del implante. Su diseño adecuado influye en la salud gingival y en la longevidad del tratamiento.
La planificación del perfil de emergencia en carga inmediata se vuelve aún más relevante, ya que la prótesis provisional juega un papel esencial en la modelación de los tejidos blandos y en la estabilidad biomecánica.
La posición tridimensional del implante tiene una influencia directa en el diseño del perfil de emergencia. Según Gómez Meda et al. (2020), la ubicación óptima del implante crucial para mantener el hueso y los tejidos blandos adyacentes. Cuando el implante no se coloca en una posición ideal, es necesario realizar modificaciones protésicas que pueden limitar la apariencia estética de la restauración final o alterar el entorno biológico del hueso y los tejidos. Por lo tanto, una colocación precisa del implante es esencial para facilitar un diseño adecuado del perfil de emergencia y garantizar resultados estéticos y funcionales satisfactorios.
Cuando se realiza una carga inmediata, la restauración provisional debe diseñarse para favorecer la adaptación de los tejidos blandos sin comprometer la osteointegración. La estabilidad primaria del implante, el ajuste pasivo de la prótesis y la distribución equilibrada de las cargas oclusales son factores clave para el éxito del tratamiento.
1. Perfil de Emergencia: Definición y Parámetros Claves
El perfil de emergencia se divide en dos zonas principales:
1.1. Zona Crítica y Zona Subcrítica
- Zona Crítica (0-1.5 mm subgingival): Influye directamente en la estética gingival y debe imitar el contorno cervical del diente natural. Un diseño excesivamente convexo puede inducir recesión gingival, mientras que una concavidad inadecuada puede comprometer el soporte de los tejidos blandos.
- Zona Subcrítica (>1.5 mm subgingival): Afecta el volumen y estabilidad de los tejidos blandos periimplantarios. Su diseño debe facilitar la higiene y evitar el desarrollo de periimplantitis.
1.2. Influencia del Ancho Biológico
El ancho biológico alrededor de los implantes es aproximadamente de 3mm, distribuido en:
- 1 mm de epitelio de unión
- 1 mm de tejido conectivo
- 1 mm de surco periimplantario
Respetar este espacio es fundamental para evitar la reabsoción ósea y la inflamación periimplantaria.
2. Carga Inmediata: Principios Biomecánicos y Relación con el Perfil de Emergencia
2.1. Factores Claves para el Éxito de la Carga Inmediata.
- Estabilidad Primaria (>35Ncm): La carga inmediata solo es viable cuando se logra una adecuada estabilidad inicial del implante. Se recomienda la utilización de implantes con macrogeometría optimizada y superficies tratadas para mejorar la integración ósea.
- Provisional con Perfil de Emergencia Óptimo: La restauración provisional debe diseñarse para guiar la cicatrización de los tejidos blandos sin generar presión excesiva sobre la encía.
- Distribución de cargas: Se debe minimizar la carga oclusal en la fase inicial para evitar micromovimientos del implante que comprometan la osteointegración. Se recomiena el uso de contactos excesivamente en céntrica sin interferencias en lateralidad.
- Control de la Cicatrización Gingival: La forma del provisional permite modelar los tejidos blandos progresivamente, evitando colapsos gingivales y asegurando un contorno armónico antes de la restauración final.
3. Estrategias Clínicas para la Optimización del Perfil de Emergencia
3.1. Uso de Provisionales Personalizados
El uso de prótesis provisionales atornilladas permite modificar progresivamente el perfil de emergencia, adaptando la encía a la futura restauración definitiva.
3.2. Técnica de Contorneado de Tejidos Blandos
- Se inicia con una forma convexa leve para evitar presión sobre los tejidos.
- A lo largo de varias semanas, se realizan ajustes progresivos para lograr el volumen y contorno deseado.
3.3. Importancia del Ajuste Pasivo y Sellado Biológico
Un ajuste inadecuado de la prótesis provisional puede generar microfiltración y proliferación bacteriana, aumentando el riesgo de periimplantitis.
La conexión pilar-prótesis debe garantizar un sellado óptimo para preservar la salud periimplantar.
4. Conclusión
El diseño del perfil de emergencia es un componente clave en el éxito de las rehabilitaciones sobre implantes, especialmente en protocolos de carga inmediata. Su correcta planificación permite la conservación de los tejidos periimplantarios, mejora la estética y optimiza la distribución de las fuerzas oclusales.
Los estudios han demostrado que la manipulación de los tejidos blandos mediante provisionales personalizados tanto manual como digitalmente mejora la estabilidad del margen gingival y favorece una mejor adaptación a la restauración definitiva.
Caso Clínico
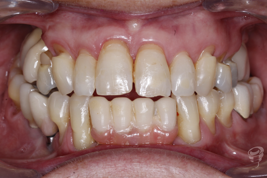
Paciente presenta periodontitis crónica severa generalizada en piezas desde 14 hasta 25. Con limitación estructural ósea importante por lo que decidimos realizar carga inmediata FP1 más el llenado de los gaps alveolares. Además de regeneración tisular en premaxilar.
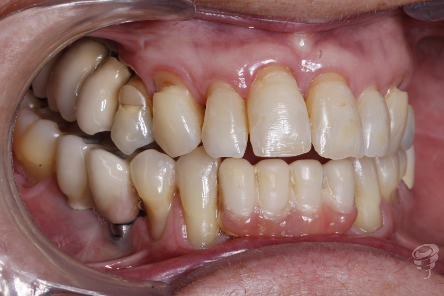
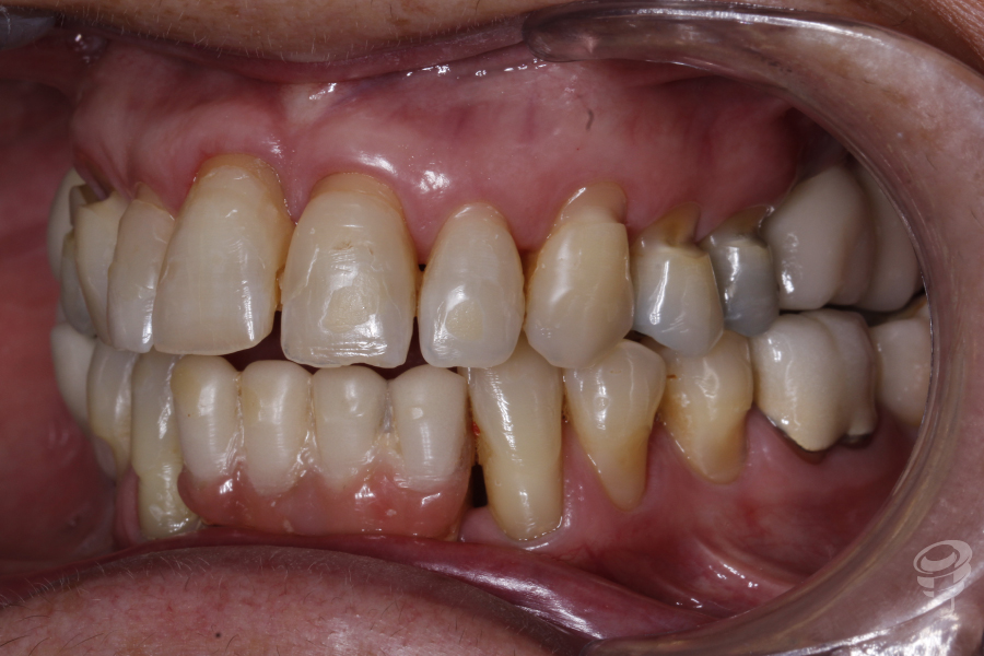
Podemos notar la pérdida de soporte periodontal que hay en el 11 y 21 y una descompensación asimétrica de los márgenes gingivales. Además, mordida abierta anterior y posterior derecha, mordida cruzada posterior bilateral, guías caninas ausentes. Un precario ajuste oclusal y bruxista. Podemos observar notables signos de abfracción en los cuellos 14, 13, 23, 24 y 25.

Figura 1


Figura 2

Figura 3

Figura 4
Realizamos extracción de las piezas afectadas periodontalmente. Colocamos los implantes en posiciones, 14, 13, 11, 21 y 23. Simultáneamente un injerto de tejido queratinizado desepitelizado, en zona 11 y 21, para ganar volumen.

Figura 5
Posterior a la colocación de implantes, tomamos medidas digitales con scanbody.

Figura 6
1er provisional carga inmediata de 14 a 25 sobre 4 implantes.

Figura 7
1 semana de post operatorio. La papila central se mantiene estable en su posición.

Figura 8
4 meses post cirugía
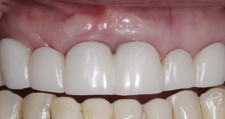
4 meses post cirugía observamos tejidos blandos relativamente estables.
La prótesis queda sobrecontorneada debido al posicionamiento periimplantario de los tejidos blandos.

Figura 9
Tomamos medidas de arrastre para copiar bien la anatomía actual de los tejidos blandos.
Obtendremos un modelo maestro, lo cual nos ayudará a diseñar los ovoides.

Figura 10
Procedemos a desgastar el tejido con una fresa de diamante redonda o forma de balón de rugby y al mismo tiempo agregando material a los ovoides de la prótesis, buscando así el Zenit y la forma ovoide deseada.

Figura 11
Personalizamos los Ovoides en los pónticos respetando el espacio biológico de cada implante respectivamente.

Figura 12
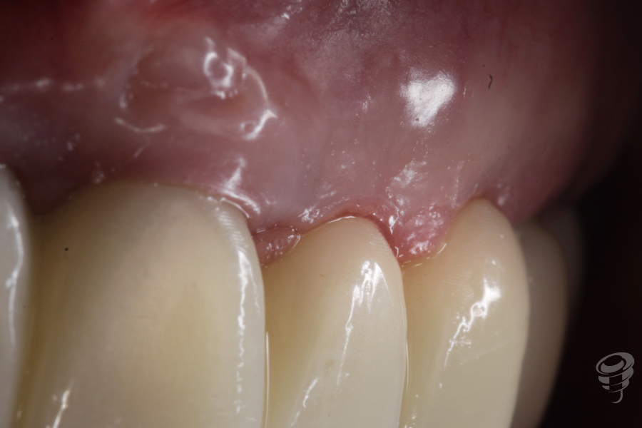
Situación del provisional con perfiles de emergencia personalizados, pero únicamente para marcar los puntos más apicales del festoniado de la encía (zenit).

Figura 13
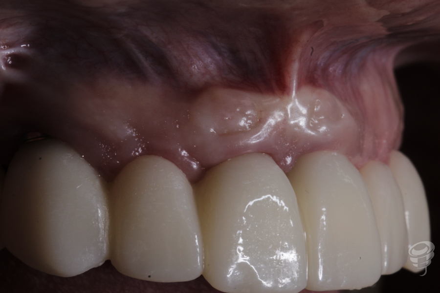
Situación prospto perio después de 2 meses con los perfiles de emergencia personalizados


Figura 14

Figura 15
Desgastamos la zona estética de la prótesis (11-21) para crear espacio y así conseguir la recolocación del margen gingival.
3er Prótesis Provisional, impresa con resina Bego TRINI-Q, luego de conformación personalizada analógica de los perfiles de emergencia.

Figura 16


Figura 17
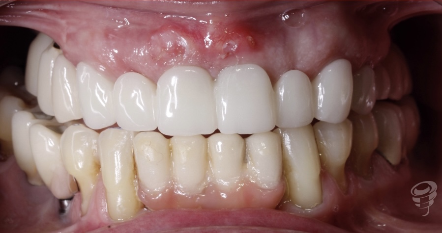
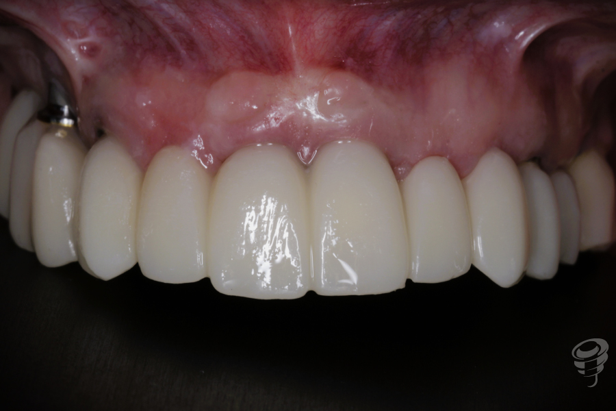
Resultado
Resultado de los perfiles de emergencia, situación estética gingival y protética de un PMMA que será el paso justamente anterior a la prótesis definitiva que se realizará en Zirconio monolítico.

Figura 18

Figura 19

Figura 20

Figura 21
