Caso clínico | Explantación de implante mal posicionado en el sector anterior y regeneración mediante técnicas de Tent Pole

Dr. Alfonso Sande
- Licenciado en Odontología por la Univ. Alfonso X El Sabio – Madrid
- Master en Medicina Oral, Cirugía e Implantología Oral por la Univ. de Santiago de Compostela
- Master Universitario en Ciencias odontológicas por la Univ. de Santiago de Compostela
- Profesor del Master en Cirugía Oral e Implantología de la Univ. de Santiago de Compostela
Introducción
La rehabilitación de pacientes edéntulos mediante prótesis fijas implanto-soportadas se ha convertido en una práctica habitual en las últimas décadas. Sin embargo, determinadas condiciones locales de las crestas óseas edéntulas podrían ser desfavorables para la correcta colocación de los implantes, ya que se necesita un volumen óseo adecuado que facilite una osteointegración estable para conseguir éxito a largo plazo.
El fallo de un implante en sector estético puede provocar defectos óseos muy amplios y difíciles de solucionar, teniendo que recurrir a técnicas muy complejas y en ocasiones varias cirugías para poder resolver este tipo de situaciones.
En este caso clínico el paciente presenta un implante colocado en una posición errónea en el sector anterior.
Para poder resolverlo de una manera predecible y poco invasiva recurrimos a la técnica de Tent Pole con la intención de regenerar el volumen perdido inicialmente y poder colocar un implante en una posición 3D correcta.
Caso clínico
Se presenta el caso clínico de un paciente varón de 35 años de edad, no fumador y sin antecedentes médicos de interés.
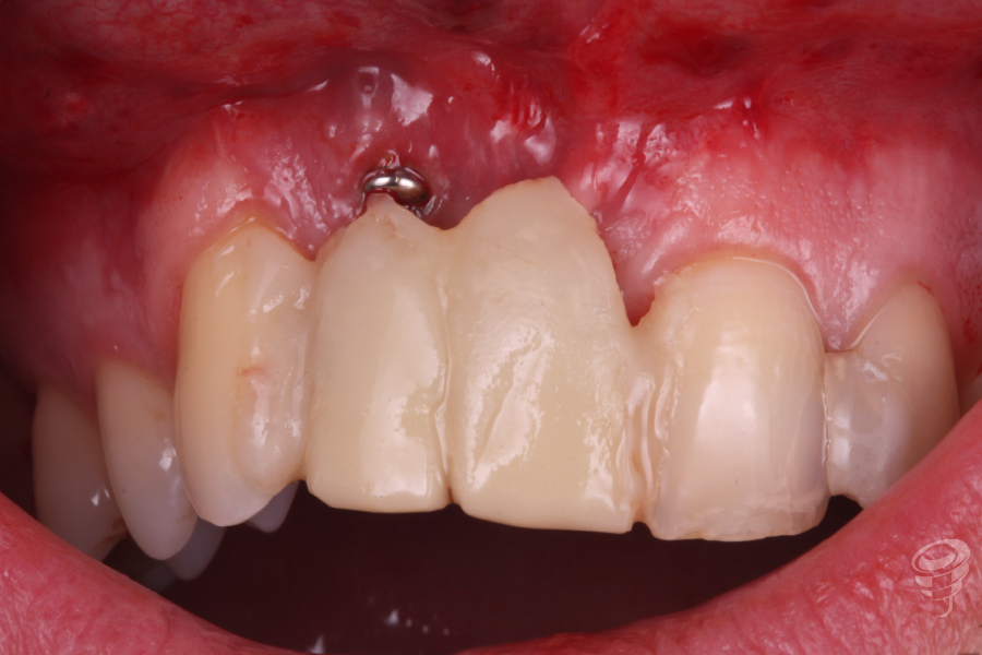
Acude a consulta demandando una solución para un implante situado en posición 12. Este implante nunca se ha rehabilitado debido a su mala situación clínica y radiográfica.
Realizamos un estudio con un CBCT de la zona. En los cortes seccionales se visualiza el implante en una posición muy vestibular, fuera del marco óseo y una imagen radiolúcida rodeando el implante.

Imagen 1

Imagen 2

Imagen 3
Procedimiento quirúrgico
- Pautamos un tratamiento antibiótico de amoxicilina 750mg durante una semana después de la intervención quirúrgica, además de ibuprofeno durante 2-3 días.
- Bajo anestesia local se inició la cirugía con incisión crestal y dos descargas distales a nivel del ángulo vestíbulo distal de los dientes 22 y 14.
- Posteriormente se realizó un colgajo a espesor total.
- Realizamos la explantación del implante colocado en una posición anómala con un extractor de implantes Galimplant de una manera muy simple, ya que no estaba totalmente osteointegrado.
- Posteriormente empezamos a realizar la preparación del lecho óseo con el protocolo de fresado Galimplant y colocar un nuevo implante IPX 4012 en la zona del 11.
Una vez colocado, insertamos un pilar multi-posición recto estético anti-rotatorio de 3mm.

Imagen 4
Colocamos un tornillo de Tent Pole en la zona del defecto creado por el implante en 12 para conseguir un relleno óseo adecuado.

Imagen 5

Imagen 6
Una vez estabilizado el tornillo Tent Pole, manteniendo la distancia al hueso remanente, procedemos a rellenar con hueso autólogo de fresado y xenoinjerto. Posteriormente colocamos una membrana de colágeno fijada con chinchetas. (Imagen 7 y 8). Finalmente procedemos a realizar la sutura.
Ese mismo día, se le coloca una prótesis provisional fija atornillada (Imagen 9 y 10)

Imagen 7

Imagen 8

Imagen 9

Imagen 10
6 meses después
Seis meses después se levanta un colgajo a espesor total y retiramos el tornillo de Tent Pole, pudiendo observar el relleno total de la zona injertada.

Imagen 11

Imagen 12
Además en esta cirugía realizamos un injerto de tejido conectivo para ganar más volumen en sentido vestibular.

Imagen 13

Imagen 14
Resultado
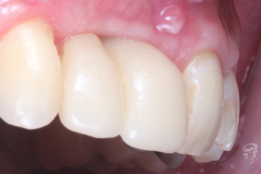
Finalmente se puede observar un implante en una situación 3D adecuada y con un volumen de tejido duro y blando satisfactorio para conseguir unos buenos resultados estéticos y funcionales.

Imagen 15

Imagen 16
