
Implante inmediato post-extracción con carga inmediata en 2.1
Dr. David Peñarrocha Oltra
- Licenciado en Odontología, Universitat de València, (Premio Extraordinario)
- Máster en Cirugía Bucal e Implantología, Universitat de València,
- Doctorado en Odontología con Mención Internacional, Universitat de Valéncia – Universidad de Pisa, (Premio Extraordinario)
- Becario del Programa VALi+d para Jóvenes Investigadores de la Consellería de Educación, Cultura y Deporte de Valencia
- Scholar ITI (International Team for Implantology), Universidad Nacional Autónoma de México.
- Profesor Titular de Cirugía Bucal y Cirugía de Implantes, Universitat de València.
- Director del Experto Universitario en Implantología, Universitat de València.
- Editor Asociado de la revista “Medicina Oral, Patología Oral y Cirugía Bucal” (indexada en JCR)
- Asesor científico de Galimplant y Directa Dental Group.
Técnico de laboratorio:
- Javier Ortolá de Laboratorio Dinnbier
Diagnóstico y planificación
Una mujer de 22 años con sonrisa gingival y sobremordida acude con movilidad del 21 a causa de una fractura horizontal. Se trata de un diente endodonciado y rehabilitado con una corona ceramo-metálica a causa de una fractura por un traumatismo hace más de 10 años. El plan de tratamiento ideal presentado a la paciente incluía un tratamiento ortodóntico previo a la colocación de la corona definitiva, pero la paciente declinó la ortodoncia.
Figura 1. Vista frontal en la que se observa inflamación del margen gingival del 21 y una fístula en mesial cerca del margen. El diente no presentaba profundidad de sondaje. La fístula se asocia con la presencia de la fractura horizontal en tercio coronal.
Figura 2. En la radiografía periapical puede observarse la fractura horizontal a nivel del cuello de la corona. Puede observarse también una lesión radiolúcida periapical con extrusión de cemento endodóntico.
Figura 3. La corona se retira con facilidad y se observa que el resto radicular remanente no tiene suficiente ferrule para ser rehabilitado. Se descarta el alargamiento coronario por motivos estéticos.

Figura 1

Figura 2

Figura 3
Figura 4. En los cortes parasagitales de la tomografía computerizada de haz cónico puede observarse que la cortical ósea vestibular está intacta y tiene un espesor entre 0,5 y 1mm.

Figura 4
Extracción del resto radicular y curetaje de la zona periapical
Figuras 5-7. Se realiza la extracción del resto radicular intentando reducir en lo posible el trauma sobre el hueso alveolar. Para ellos utilizamos insertos para extracción con ultrasonidos de Piezomed (W&H; figura 5) y periotomo para restos radiculares Luxator Dual Edge 3 (Directa; figuras 6 y 7).

Figura 5

Figura 6

Figura 7
Figuras 8-10. Una vez luxado el resto radicular se retira con un fórceps para restos radiculares.

Figura 8

Figura 9

Figura 10
Figura 11. Visualizando oclusalmente el alveolo post-extracción observamos al fondo la lesión periapical y los restos de cemento endodóntico.
Figuras 12 y 13. Utilizamos una cureta Gracey mini 5/6 para llegar a curetear y limpiar la zona periapical.

Figura 11

Figura 12

Figura 13
Figura 14. Radiografía periapical intraoperatoria para comprobar que se han eliminado los restos de cemento endodóntico de los tejidos periapicales.

Figura 14
Uso de la guía quirúrgica y colocación del implante inmediato post-extracción
Figuras 15 y 16. Vista frontal y oclusal de la guía quirúrgica de acrílico transparente.
Figura 17. Fresado del lecho del implante con la guía quirúrgica colocada.

Figura 15

Figura 16

Figura 17
Figura 18. Vista oclusal del implante inmediato post-extracción (IPX, Galimplant). Se observa una posición hacia palatino y la presencia de un gap vestibular de 2-3 milímetros.
Figura 19. Comprobación de la posición apico-coronal del implante a 4 milímetros del margen gingival ideal.

Figura 18

Figura 19
Regeneración ósea, colocación de injerto de tejido conectivo y carga inmediata
Figura 20. Desepitelización fuera de boca de un injerto libre obtenido del paladar.
Figura 21. Presentación del injerto de conectivo sobre la zona receptora.

Figura 20

Figura 21
Figura 22. Relleno del gap entre implante y cortical ósea con partículas de beta-TCP.
Figura 23. Fijación del injerto de tejido conectivo a nivel del margen gingival.

Figura 22

Figura 23
Figura 24. Colocación de un pilar provisional y esponja de colágeno en el alveolo. La esponja tiene como función proteger la zona mientras se prepara el diente provisional.

Figura 24
Figura 25. Provisional en cáscara de huevo y con aletas para los dientes vecinos que permiten posicionarlo en la posición ideal fácilmente. En la imagen acabamos de capturar el pilar utilizando resina acrílica.
Figura 26. Conformación de la zona gingival del provisional con composite.

Figura 25

Figura 26
Figura 27. Vista frontal del provisional de carga inmediata atornillado. Se deja corto como precaución para evitar sobrecargas teniendo en cuenta la sobremordida de la paciente.
Figura 28. Radiografía periapical tras la colocación del provisional.

Figura 27

Figura 28
Conformación de los tejidos y preparación para prótesis definitiva
Figura 29. Vista frontal a los 2 meses, el día que la paciente acude para la toma de impresiones definitivas.
Figura 30. Vista oclusal tras la retirada del provisional el día de la toma de impresiones para realizar la corona definitiva.
Figura 31. Toma de color con filtro polarizador el día de la prueba de bizcocho.

Figura 29

Figura 30

Figura 31
Colocación de la prótesis definitiva con altos resultados estéticos y funcionales
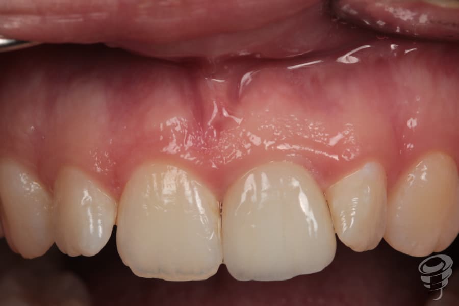
Figura 32. Sonrisa de la paciente tras la colocación de la corona definitiva.
Figura 33. Vista frontal de detalle de la corona definitiva.
Figura 34. Radiografía periapical tras la colocación de la corona ceramo-metálica.

Figura 32

Figura 33

Figura 34
Figura 35. Seguimiento a los 12 meses de la colocación de la prótesis definitiva.
Figura 36. Radiografía periapical a los 12 meses.

Figura 35

Figura 36