Caso Clínico | Rehabilitación Estética Integral con implante inmediato, injerto óseo y de tejido conectivo y carillas de cerámica en incisivo central superior fracturado

Dr. Habib Shammas
- Licenciado en Odontología por la Univ. Internacional de Catalunya
- Máster en Cirugía de Implantes y Prótesis sobre Implantes por la SEI-EFOI
- Máster en ciencias de la investigación por la Univ. Internacional de Catalunya
- Diplomate in Oral Implantology, ICOI-USA
- Profesor asociado en el Postgrado de Prótesis de la SCOE
Resumen
- Objetivo: Presentar un caso de rehabilitación estética y funcional en zona anterior mediante implante inmediato postextracción, regeneración ósea y de tejidos blandos, y restauración cerámica.
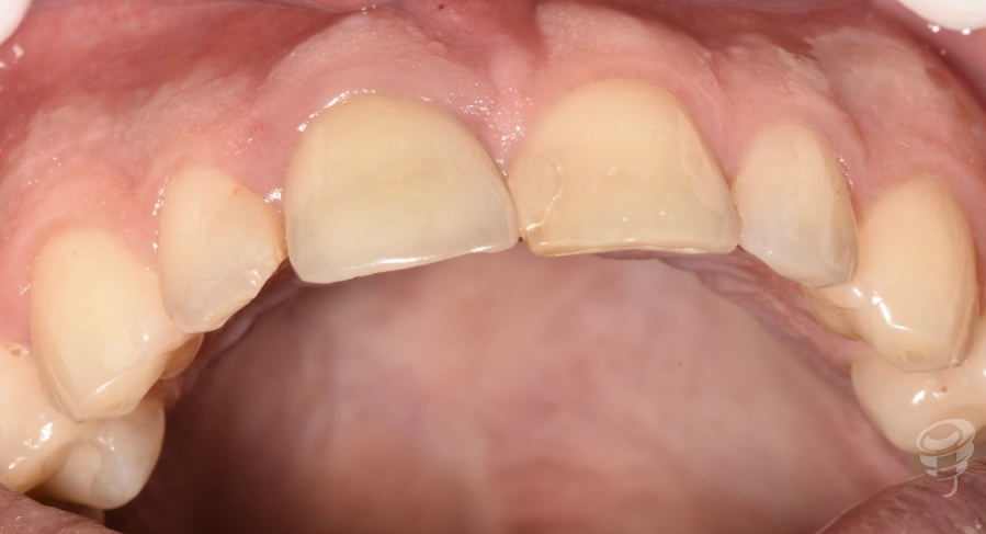
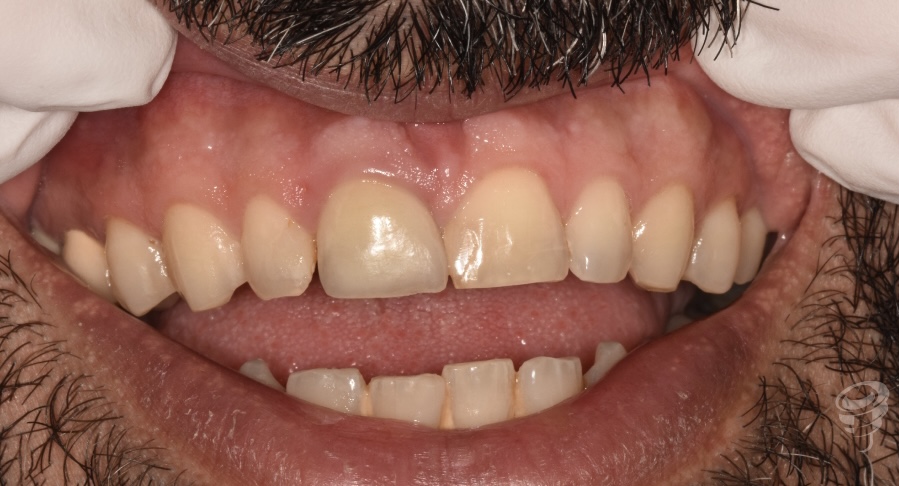
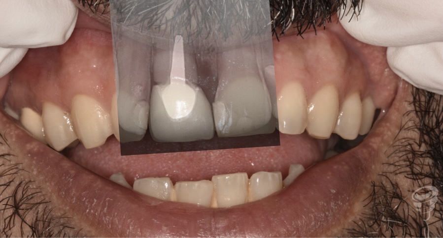
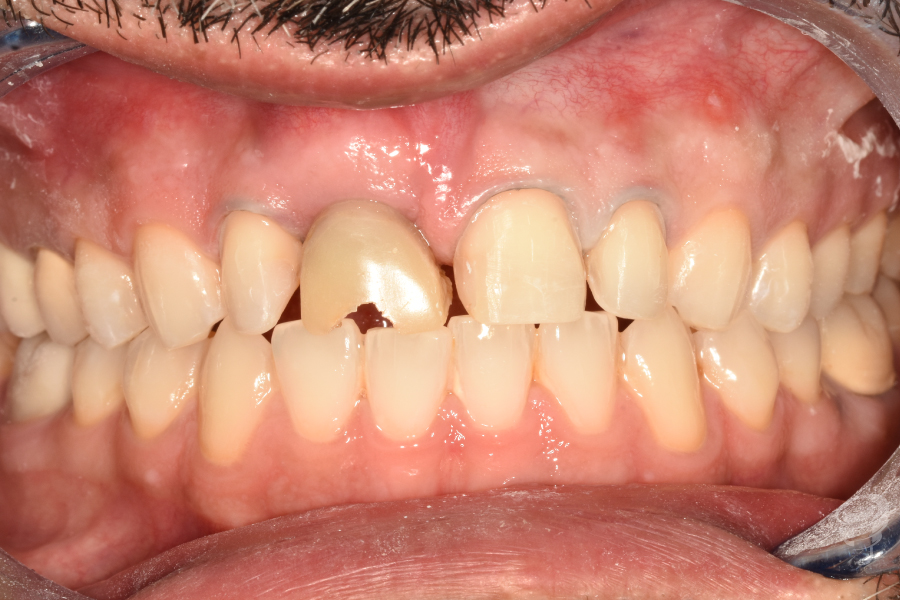
- Caso clínico: Paciente masculino de 45 años con fractura irreparable del incisivo central superior derecho (11) previamente tratado con una endodoncia y unión colado, fracturado por trauma oclusal. Se realizó extracción atraumática, colocación de implante inmediato, injerto óseo xenogénico mezclado con hueso antólogo del fresado, e injerto de tejido conectivo subepitelial para optimizar el perfil de emergencia. A los 4 meses se colocó corona implanto-soportada de zirconio y carillas de disilicato de litio en dientes 12 y 21.
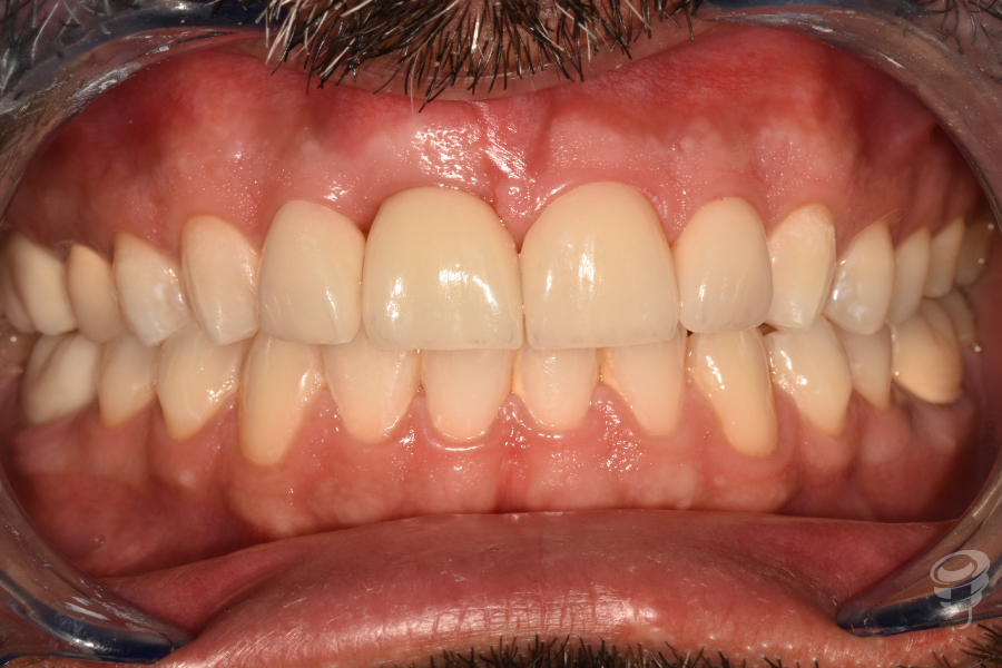
- Resultados: A los 24 meses, se observó osteointegración completa, contorno gingival estable, armonia estética y alta satisfacción del paciente.
- Conclusión: La combinación de técnicas quirúrgicas y protésicas avanzadas permite resultados predecibles y estéticos en rehabilitaciones complejas de la zona anterior.
Introducción
La pérdida de un incisivo central superior por trauma representa un desafío estético y funcional de alta exigencia. Los implantes inmediatos, combinados con procedimientos de regeneración ósea y de tejidos blandos, permiten preservar la arquitectura alveolar y gingival, minimizando el tiempo de tratamiento y mejorando la predictibilidad estética (1).
El injerto de tejido conectivo subepitelial es la técnica de elección para aumentar el grosor y altura del tejido blando periimplantario, especialmente en pacientes con biotipo gingival delgado (2). Por su parte, las carillas de cerámica permiten una restauración mínimamente invasiva de los dientes adyacentes, logrando una sonrisa armónica (3).
Este reporte describe la rehabilitación integral de un incisivo central fracturado mediante implante inmediato Galimplant IPX 0412, injerto óseo y de tejido conectivo, y carillas de cerámica, con seguimiento a 24 meses.

Figura 1

Figura 2


Figura 3

Figura 4
Plan de tratamiento
- Extracción atraumática + implante inmediato.
- Injerto óseo particulado Xenogénico mezclado con hueso antólogo de fresado lento biológico.
- Injerto de tejido conectivo subepitelial.
- Corona provisional implanto-soportada realizada con una corona de resina en «cáscara de huevo», para arrastrar al pilar inmediato, se realiza el contorneo y perfiles de emergencia a mano alzada.
- Pilar definitivo de zirconio ceramizado + carillas de disilicato de litio (11, 12, 21 y 22)
Procedimiento Quirúrgico y Protésico
Fase 1: Cirugía (Dia 0)
- Anestesia local (articaina 4% con epinefrina 1:100.000)
- Extracción atraumática del diente 11 con periotomos y luxadores.

Figura 5

Figura 6

Figura 7
- Preparación del lecho implantario: Secuencia quirúrgica con fresas bajo irrigación abundante.

Figura 8
- Colocación del implante: Implante cónico de titanio grado IV (IPX 4012) con torque de inserción de 40 Ncm. Posición: 3mm apical al CEN del diente adyacente, 2mm palatino a la tabla vestibular.

Figura 9

Figura 10

Figura 11

Figura 12

Figura 13

Figura 14
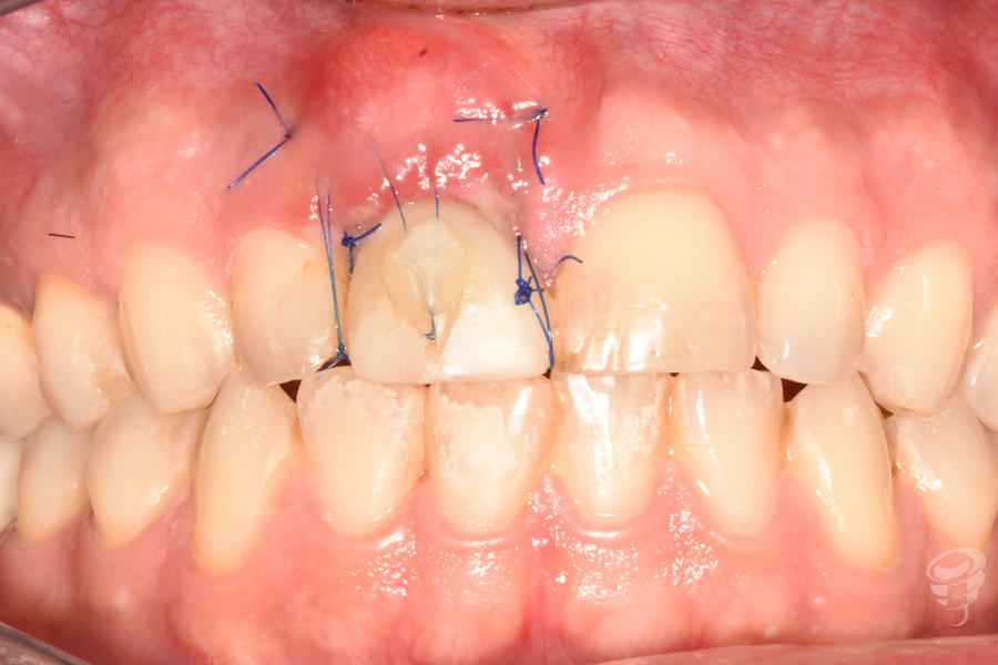
- Injerto óseo: Colocación de partículas xenogénicas y de fresado propio en el gap vestibular y coronal al implante. Injerto de tejido conectivo: Obtenido de la tuberosidad. Injerto subepitelial tunelizado vestibularmente al implante y suturado con Seralene 5-0.

Figura 15

Figura 16

Figura 17

Figura 18

Figura 19

Figura 20

Figura 21
- Provisionalización: Pilar titanio personalizado + corona provisional de resina acrílica (sin contacto oclusal), con la colocación de puntos suspensores para estabilizar la encía y márgenes gingivales.

Figura 22

Figura 23

Figura 24

Figura 25
Fase 2: Controles y Segunda Etapa (Mes 4)
- Confirmación de osteointegración (ISQ > 70).

Figura 26

Figura 27

Figura 28

Figura 29
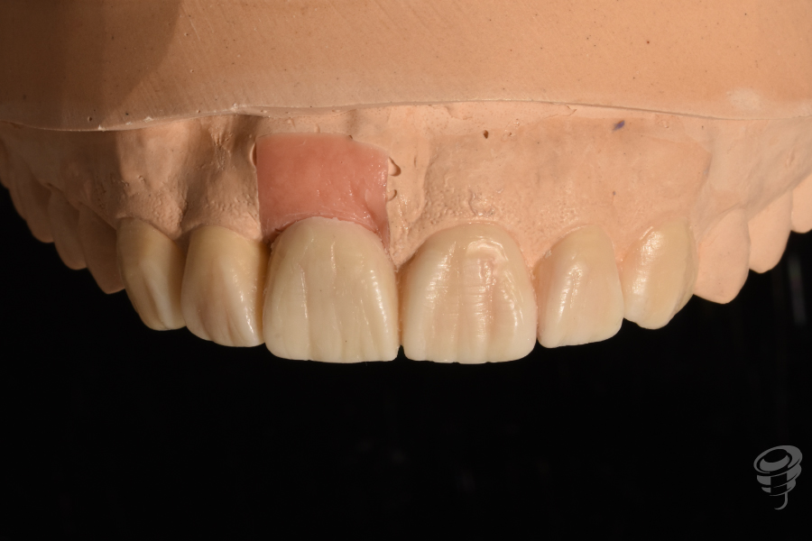
- Impresión convencional para realizar un encerado diagnóstico estético y posteriormente una realización de réplica del perfil de emergencia con la técnica de Hinds, para solapar una medida convencional con una digital (escáner intraoral).

Figura 30

Figura 31

Figura 32

Figura 33

Figura 34

Figura 35

Figura 36

Figura 37

Figura 38

Figura 39
- Restauración definitiva:
Pilar de zirconio ceramizado implanto-soportado monolítico (translucidez media, color A1)
Carillas de disilicato de litio (IPS e.max Press, espesor 0.6mm) de 12 a 21, cementadas con resina dual

Figura 40

Figura 41

Figura 42

Figura 43

Figura 44

Figura 45

Figura 46

Figura 47

Figura 48

Figura 49
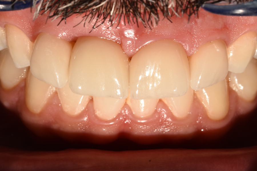
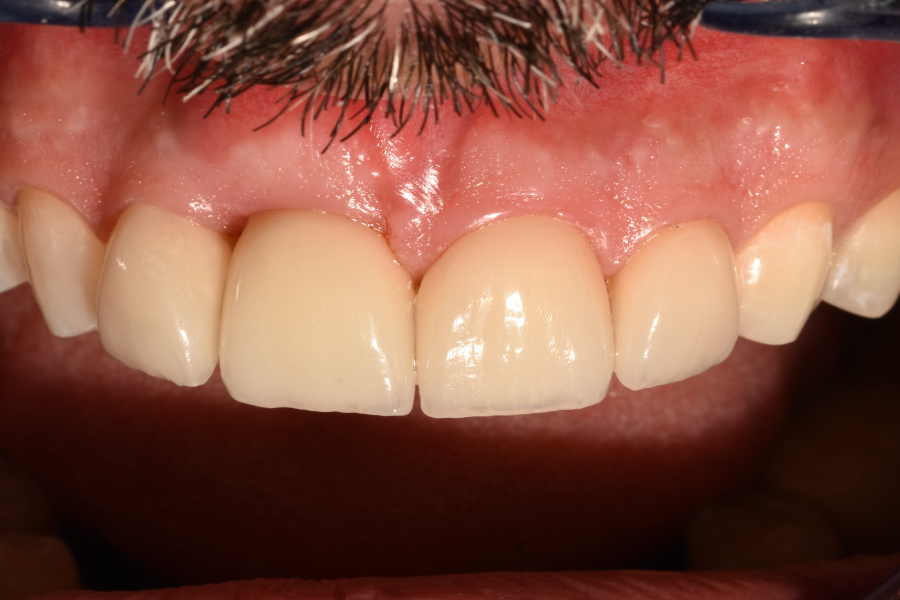
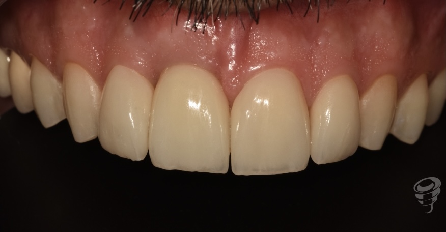
Resultado

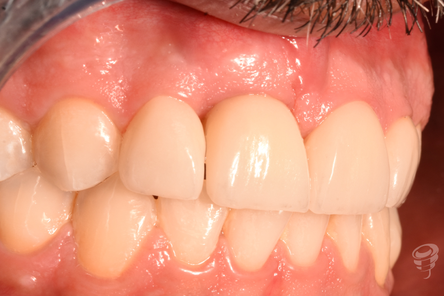
Revisión a los 24 meses

Figura 50


Figura 51

Figura 52

Figura 53
Discusión
La colocación de implantes inmediatos en zona estética requiere una planificación 3D precisa y manejo simultáneo de tejidos duros y blandos (4). En este caso:
- El injerto óseo xenogénico + ROG permitió cerrar el gap vestibular y prevenir recesión gingival, con resultados estables a 12 meses (5).
- El injerto de tejido conectivo aumentó el grosor y altura del reborde gingival, logrando un perfil de emergencia natural y reduciendo el riesgo de exposición del pilar (6).
- Las carillas de cerámica corrigieron pequeñas discrepancias de forma y color en 12 y 21, logrando una transición imperceptible con la corona implanto-soportada.
La provisionalización inmediata fue clave para guiar la cicatrización gingival y lograr una emergencia protésica ideal (7).
Conclusión
La combinación de implante inmediato, regeneración ósea, injerto de tejido conectivo y restauraciones cerámicas permite rehabilitaciones estéticas predecibles y funcionales en zona anterior, incluso en casos de trauma con biotipo gingival delgado.
La planificación interdisciplinaria y el manejo secuencial de tejidos duros y blandos son esenciales para el éxito a largo plazo.

Figura 54

Figura 55
Referencias
- Buser D, el al. Clin Oral Implants Res. 2017; 2B(1): 1-12
- Thomas DS, et al. J Clin Periodontal. 2018;45(3): 369-378
- Fons-FontA, et al. J Prosthet Dent. 2020; 123(3): 4 13-420
- Chen ST, buser D. Periodontal 2000. 2014; 66(1): 160-183
- Jung RE, at al. Clin Oral Implants Res. 2013;24(2): 175-183
- Wiesner G, et al, Int J Periodontics Restorative Dent. 2010;30(5): 447-445
- Cooper LF, et al. Int J Maxillofac Implants. 2014;29 (4): 793-801
Levine, R.A., et al. Journal of periodontology, 2017. 85(4), 515-523
Papadopoulos, M., & Schwartz, A. 2020. Dental Clinicls of North America, 64(2), 255-270
