Rehabilitación fija superior con prótesis híbrida sobre 4 implantes cigomáticos y 2 implantes en la premaxilar

Prof. Dr. Miguel Peñarrocha Diago
Especialidad: Cirugía Oral
Formación:
-
- Médico Especialista en Estomatología y en Neurología.
- Catedrático de Cirugía Bucal de la Facultad de Medicina y Odontología de Valencia.
- Director del Master de Cirugía Bucal e Implantología (Universitat de València).
- Presidente de la Sociedad Española de Cirugía Bucal (SECIB)

Prof. Dr. David Peñarrocha Oltra
Especialidad: Cirugía Oral
Formación:
-
- Licenciado en Odontología, Universitat de València, (Premio Extraordinario)
- Máster en Cirugía Bucal e Implantología, Universitat de València,
- Doctorado en Odontología con Mención Internacional, Universitat de Valéncia – Universidad de Pisa, (Premio Extraordinario)
- Scholar ITI (International Team for Implantology), Universidad Nacional Autónoma de México.
- Profesor Titular de Cirugía Bucal y Cirugía de Implantes, Universitat de València.
- Director del Experto Universitario en Implantología, Universitat de València.
Webs de interés:
Historia clínica y dental
Mujer de 47 años sin antecedente médicos relevantes, con atrofia ósea severa en ambos maxilares a causa de edentulismo de larga evolución.
Tratamiento: rehabilitación fija superior con prótesis híbrida sobre 4 implantes cigomáticos Galimplant Smooth y 2 implantes IPX® en la premaxilar. Rehabilitacion fija inferior con prótesis híbrida sobre 4 implantes inferiores IPX® rectos intermentonianos.
Figura 1: Situación clínica inicial
A: visión oclusal del maxilar.
B: visión oclusal de la mandíbula.
C: visión directa del maxilar superior edéntulo completo.
Figura 2:
Imagen clínica extraoral de perfil donde se observa el hundimiento de labio superior.

Figura 1-A

Figura 1-B

Figura 1-C

Figura 2
Diagnóstico radiográfico del caso clínico
Para la exploración del reborde óseo remanente de ambas se realiza una tomografía computarizada de haz cónico (CBCT)
Figura 3:
Radiografía panorámica preoperatoria. La paciente presenta una severa atrofia maxilar y mandibular.
Figura 4 A y B:
Reconstrucción tridimensional de la tomografía computerizada en la que podemos observar la atrofia maxilar y mandibular que presenta la paciente.

Figura 3

Figura 4-A

Figura 4-B
Incisión y despegamiento
La intervención se realizó bajo sedación consciente intravenosa por un anestesista y anestesia local, tanto infiltrativa terminal como troncular retrotuberositaria y de los nervios infraorbitarios con articaina 4% con epinefrina 1:100.000.
Tras una incisión crestal a lo largo del proceso edéntulo del maxilar superior, se realizaron dos incisiones de descarga a nivel del proceso cigomático. Se realizó un despegamiento a espesor completo y se localizaron las estructuras anatómicas relevantes.
Figura 5:
A: Visión oclusal clínica inicial.
B: Incisión crestal con descargas distales a nivel del cigoma.
C: Despegamiento mucoperióstico a espesor completo.

Figura 5-A

Figura 5-B

Figura 5-C
Secuencia de fresado
Se procedió a realizar la secuencia de fresado para los implantes cigomáticos, comenzando por el más distal en cada cuadrante. Se inicia el fresado con la fresa lanza y posteriores fresas para preparación y ensanchamiento del lecho implantario para colocación del implante cigomático. Finalmente se realizó la colocación de 2 implantes convencionales IPX.
Figura 6: Cigomático distal del primer cuadrante
A: Zona receptora para el IC.
B: Marcado del lecho del IC.
C: Fresado para la elaboración del lecho implantario para el IC.
D: Lecho del IC.
E: Continuación de fresado previo para colocar el IC.
F: Primer IC colocado Galimplant.

Figura 6-A

Figura 6-B

Figura 6-C

Figura 6-D

Figura 6-E

Figura 6-F
Figura 7: Cigomático mesial del primer cuadrante
A: Fresado inicial para conformar el lecho del segundo IC en el primer cuadrante.
B: Colocación de los 2 implantes cigomáticos en el primer cuadrante. Hacia mesial del implante puede observarse la fractura de la pared lateral del seno maxilar.

Figura 7-A

Figura 7-B
Figura 8: Cigomático distal del segundo cuadrante
A: Zona receptora del implante cigomático.
B: Fresa inicial de marcado.
C: Secuencia de fresado para ir conformando el lecho implantario.
D: Última fresa para conformar el lecho.
E: Lecho conformado.
F: Colocación de implante cigomático Galimplant.

Figura 8-A

Figura 8-B

Figura 8-C

Figura 8-D

Figura 8-E

Figura 8-F
Figura 9: Cigomático mesial del segundo cuadrante
A: Secuencia de fresado para la colocación del segundo implante cigomático en el segundo cuadrante.
B: Implantes cigomáticos Galimplant colocados en el segundo cuadrante.
Figura 10:
Vista oclusal de los cuatro implantes cigomáticos colocados y 2 implantes convencionales Galimplant IPX® en la premaxila.

Figura 9-A

Figura 9-B

Figura 10
Manejo de tejidos blandos
A continuación, se realiza un injerto de tejido conectivo suturado mediante “técnica de bufanda” en el primer cuadrante y un injerto de tejido conectivo fijado con chinchetas en el segundo cuadrante. Posteriormente se realiza el cierre de la herida con sutura sintética no reabsorbible de poliamida 4/0 (Supramid®). No realizamos carga inmediata superior debido a que los implantes no tienen suficiente estabilidad primaria.
Figura 11:
A: Injerto de tejido conectivo suturado mediante “técnica de bufanda” en el primer cuadrante.
B: Injerto de tejido conectivo fijado con chinchetas en el segundo cuadrante.
Figura 12:
Cierre de la herida con sutura sintética no reabsorbible de poliamida 4/0 (Supramid®).

Figura 11-A

Figura 11-B

Figura 12
Colocación de 4 implantes convencionales Galimplant IPX® rectos intermentonianos en la mandíbula
En la mandíbula se procede al protocolo de fresado para la colocación de 4 implantes IPX y posterior colocación de pilares multiposición rectos y sus respectivas tapas de cierre. Posteriormente se realiza la toma de registros para la confección de la prótesis fija provisional de carga inmediata inferior.
Figura 13:
A: Colocación de pilares intermedios rectos de 2mm de altura.
B: Cierre de la herida tras colocar las tapas sobre los pilares.

Figura 13-A

Figura 13-B
Figura 14: Toma de registros para la confección de la prótesis fija provisional de carga inmediata inferior.
A) Ferulización de los postes de impresión con resina autopolimerizable a una férula de resina transparente.
B) Registro de mordida.

Figura 14-A

Figura 14-B
Figura 15:
A) Radiografía panorámica postoperatoria.
B) Colocación de la carga inmediata inferior

Figura 15-A

Figura 15-B
Seguimiento del caso y segunda cirugía
Tras un postoperatorio sin complicaciones, se realizó la segunda cirugía a los 4 meses en el maxilar superior . Se realizó una selección de los pilares y sus alturas. Los pilares transepiteliales angulados permitirán la corrección de la angulación de los implantes. Seguidamente se sutura el colgajo.
Figura 16: Segunda cirugía.
A: Maxilar superior previo a la segunda cirugía.
B: Selección de pilares intermedios en el primer cuadrante.
C: Colocación de pilares intermedios y tapas protectoras en el segundo cuadrante.
D: Detalle del manejo de los tejidos blandos.
E: Sutura tras la exposición de los implantes del maxilar.

Figura 16-A

Figura 16-B

Figura 16-C

Figura 16-D

Figura 16-E
Cicatrización de los tejidos blandos peri-implantarios y toma de impresión
Una vez, cicatrizados y madurados los tejidos blandos, se tomaron las impresiones definitivas de ambas las arcadas con ferulización de los porta-implantes y posteriormente se prueba los dientes para la confección de dos prótesis híbridas.
Figura 17: Tejidos blandos peri-implantarios.
A: Cicatrización tras la segunda cirugía del maxilar.
B: Situación tras la retirada de la carga inmediata mandibular.

Figura 17-A

Figura 17-B
Figura 18: Confección de prótesis híbrida definitiva.
A: Prueba de pasividad ferulizada en boca previamente al arrastre con cubeta.
B: Prueba de dientes superior e inferior.

Figura 18-A

Figura 18-B
Colocación de las prótesis definitivas
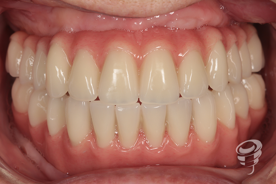
Se procede a la colocación de las Prótesis híbridas definitivas con excelentes resultados estéticos y funcionales. Fueron realizadas en el laboratorio Dental Dinnbier.
Figura 19: Prótesis híbridas definitivas
A) Imagen clínica intraoral.
B) Sonrisa frontal.
C) Sonrisa ¾.
D) Ortopantomografía.

Figura 19-A

Figura 19-B

Figura 19-C

Figura 19-D
Figura 20: Estética facial tras la colocación de las prótesis definitivas.
A ) Cara completa sonriendo.
B) Foto de perfil.

Figura 20-A


Figura 20-B
Seguimiento y resultados
Al año de la carga protésica se realizó el control clínico con excelentes resultados clínicos y radiográficos donde se observa una estabilidad del hueso peri-implantario.
Figura 21: Control a los 12 meses de la colocación de las prótesis definitivas.
A) Imagen intraoral. Puede apreciarse la forma plana/convexa de la base de las prótesis para permitir la limpieza con irrigador y SuperFloss.
B) Ortopantomografía.

Figura 21-A

Figura 21-B
