Colocación de implantes con carga inmediata sobre multiposición recto estético y regeneración ósea horizontal con xenoinjerto y membrana de colágeno

Dr. Sergio García Moreno
- Odontólogo especializado en cirugía oral, implantología, implantoprótesis y odontología digital
- Máster en cirugía bucal e implantología en el Hospital Virgen de la Paloma, Madrid
- Curso superior en implantoprótesis en la Universidad Rey Juan Carlos, Madrid
- Licenciatura en odontología en la Universidad Rey Juan Carlos, Madrid
- Participación en numeroros congresos nacionales e internacionales
- Autor de artículos científicos en revistas nacionales e internacionales
- Colegiado del la Región I 28011746
Enlaces de interés:
- Perfil de RRSS: @dr.gmoreno
Historía clínica
Paciente varón de 43 años de edad sin antecedentes médicos , acude a la consulta con puente fracasado en zona anterior mandibular con piezas 43 y 42 no mantenibles y una importante atrofia ósea horizontal en toda la zona póntica.
Extracción dental y colocación de implantes Galimplant con férula quirúrgica
Después de la extracción dental, se realiza la curetaje y limpieza de de todos los alveolos postextracción. Se realiza la incisión con descargas distales a nivel de los premolares. Se inicia el proceso de fresado y colocación de los implantes con el empleo de una férula de cirugía guiada.
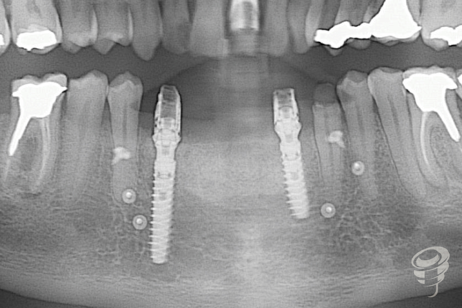
Una vez terminado el proceso de fresado y retirada la guía quirúrgica se colocan los Implantes Galimplant IPX de ø 3,5mm x Long. 14mm y ø 3,5mm x Long. 18 mm en posiciones de 32 y 43 postextracción previamente planificados. Dada la severa atrofia ósea horizontal el implante en posición de 32 queda fenestrado. Se realiza una regeneración ósea horizontal con xenoinjerto y membrana de colágeno.
Colocación de los pilares Multiposición recto estéticos y sus pilares de carga inmediata
Colocamos pilares rectos estéticos perforando la membrana para poder colocar un prótesis de carga inmediata permitiéndonos evitar que el paciente tenga utilizar algún tipo de prótesis provisional removible que pudiera comprometer el éxito de la regeneración ósea o que tuviera que estar durante tiempo prologando sin ningún tipo de provisional, mejorando así la satisfacción del paciente con el tratamiento y su calidad de vida durante el mismo.
Regeneración ósea horizontal con xenoinjerto y membrana de colágeno. Colocación de pilares multiposición recto estetico














