Caso clínico | Reconstrucción ósea

Prof. Dr. David Peñarrocha Oltra
Especialidad: Cirugía Oral
Formación:
- Licenciado en Odontología, Universitat de València, (Premio Extraordinario)
- Máster en Cirugía Bucal e Implantología, Universitat de València,
- Doctorado en Odontología con Mención Internacional, Universitat de Valéncia – Universidad de Pisa, (Premio Extraordinario)
- Scholar ITI (International Team for Implantology), Universidad Nacional Autónoma de México.
- Profesor Titular de Cirugía Bucal y Cirugía de Implantes, Universitat de València.
- Director del Experto Universitario en Implantología, Universitat de València.
Webs de interés:
- www.penarrocha.com
- www.fundaciolluisalcanyis.org/clinicas/formacionuv/experto-universitario-implantologia/
- www.idim.es
Técnico de laboratorio:
- Javier Ortolá de Laboratorio Dinnbier
RECONSTRUCCIÓN ÓSEA 3D CON TÉCNICA DE KHOURY DE UN DEFECTO ÓSEO VERTICAL EN ZONA MANDIBULAR POSTERIOR
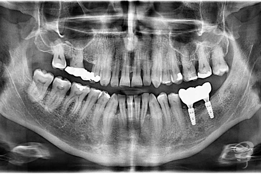
Paciente de 58 años sin antecedente médicos relevantes, con un defecto óseo vertical a nivel de 36–37 causada por una peri-implantitis. El paciente acude a nosotros tras la extracción del implante.
Tratamiento: reconstrucción ósea 3D con técnica de Khoury (láminas de hueso autólogo) y colocación de 2 implantes Galimplant IPX® a los 4 meses. Puente 36-37 de circonio monolítico sobre pilares rectos estéticos rotacionales.
Cirugía de colocación de 2 implantes en posiciones 36 y 37. Se retiran también los tornillos de fijación de las láminas óseas y se realiza una radiografía periapical de control postoperatorio.
Figura 12 (A, B, C, D, E y F)
Tejidos blandos cicatrizados tras la cirugía de exposición de los implantes y colocación de pilares multiposición recto estético rotacionales de altura 2mm. La banda de mucosa queratinizada era de 1-2mm. Hubiéramos preferido realizar un injerto libre para aumentar la mucosa queratinizada pero el paciente no quiso pasar por dicha cirugía.
Figura 13
Colocación de la prótesis definitiva de circonio monolítico. El paciente tenía mordida cruzada en 35 y los molares antagonistas palatinizados, por lo que se decide hacer una rehabilitación de 36-37 también en mordida cruzada como probablemente estaban los dientes naturales del paciente antes de perderlos.
Figura 14 (A, B y C)
















































